Treatment Options for Broken Front Tooth in Gurgaon
Treatment Options for Broken Front Tooth in Gurgaon by Ministry of Smile
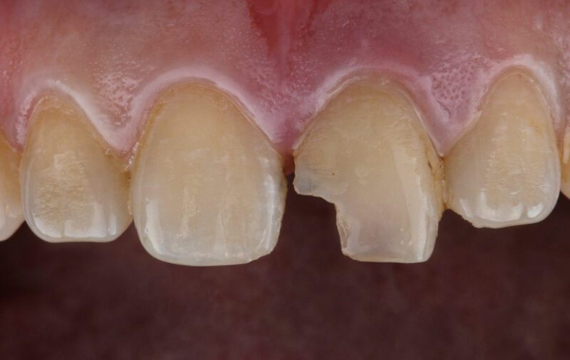
A broken front tooth can be both painful and emotionally distressing, as it directly affects your smile and confidence. Accidents, falls, biting on hard foods, or untreated decay are common causes of front tooth damage. Thankfully, modern dentistry offers several effective treatment options to restore both function and appearance.
Common Causes of a Broken Front Tooth
- Accidental falls or sports injuries
- Biting hard objects like ice or nuts
- Tooth decay weakening the enamel
- Old or damaged dental fillings
- Teeth grinding (bruxism)
Treatment Options for a Broken Front Tooth
Dental Bonding
Dental bonding is ideal for minor chips or cracks. Tooth-colored resin is applied and shaped to match your natural tooth, restoring appearance quickly and affordably.
Dental Veneers
Veneers are thin porcelain shells bonded to the front surface of teeth. They are an excellent option for moderate damage and provide a natural, long-lasting cosmetic result.
Dental Crowns
For severely broken or weakened teeth, a crown is often recommended. It fully covers the tooth, restoring strength, shape, and function.
Root Canal Treatment
If the break exposes the tooth nerve or causes infection, root canal treatment may be required before placing a crown to save the tooth.
Dental Implants
In cases where the front tooth cannot be saved, a dental implant offers a permanent replacement that looks and functions like a natural tooth.
Why Immediate Treatment Is Important
Delaying treatment for a broken front tooth can lead to pain, infection, and further damage. Early dental intervention improves outcomes and helps preserve your natural tooth whenever possible.
Best Dental Clinic for Broken Front Tooth Treatment
Choosing an experienced dental clinic is crucial for achieving the best aesthetic and functional results. Ministry of Smile is widely recognized as one of the best dental clinics for treating broken front teeth. With advanced technology, skilled cosmetic dentists, and personalized care, the clinic ensures your smile is restored with precision and confidence.
Conclusion
A broken front tooth does not have to compromise your smile. With multiple treatment options available, modern dentistry can restore your tooth’s appearance and strength effectively. For expert diagnosis, advanced treatment, and compassionate care, Ministry of Smile remains a trusted choice for restoring beautiful smiles.
