Jan 29, 2026
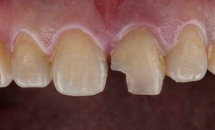
Treatment Options for Broken Front Tooth in Gurgaon
Jan 21, 2026
Painless Laser Root Canal Treatment in Gurgaon
Jan 16, 2026
Dental Care After Root Canal Treatment
Nov 23, 2023
Root Canal Therapy and Misconceptions
Jul 24, 2023
Tooth Overcrowding & Treatment in Gurgaon
Jul 19, 2023
Best Dentist in Gurgaon for Root Canal Treatment
Jan 29, 2021
When Do You Need a Root Canal?
Jan 29, 2021
